dental

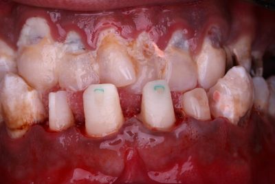
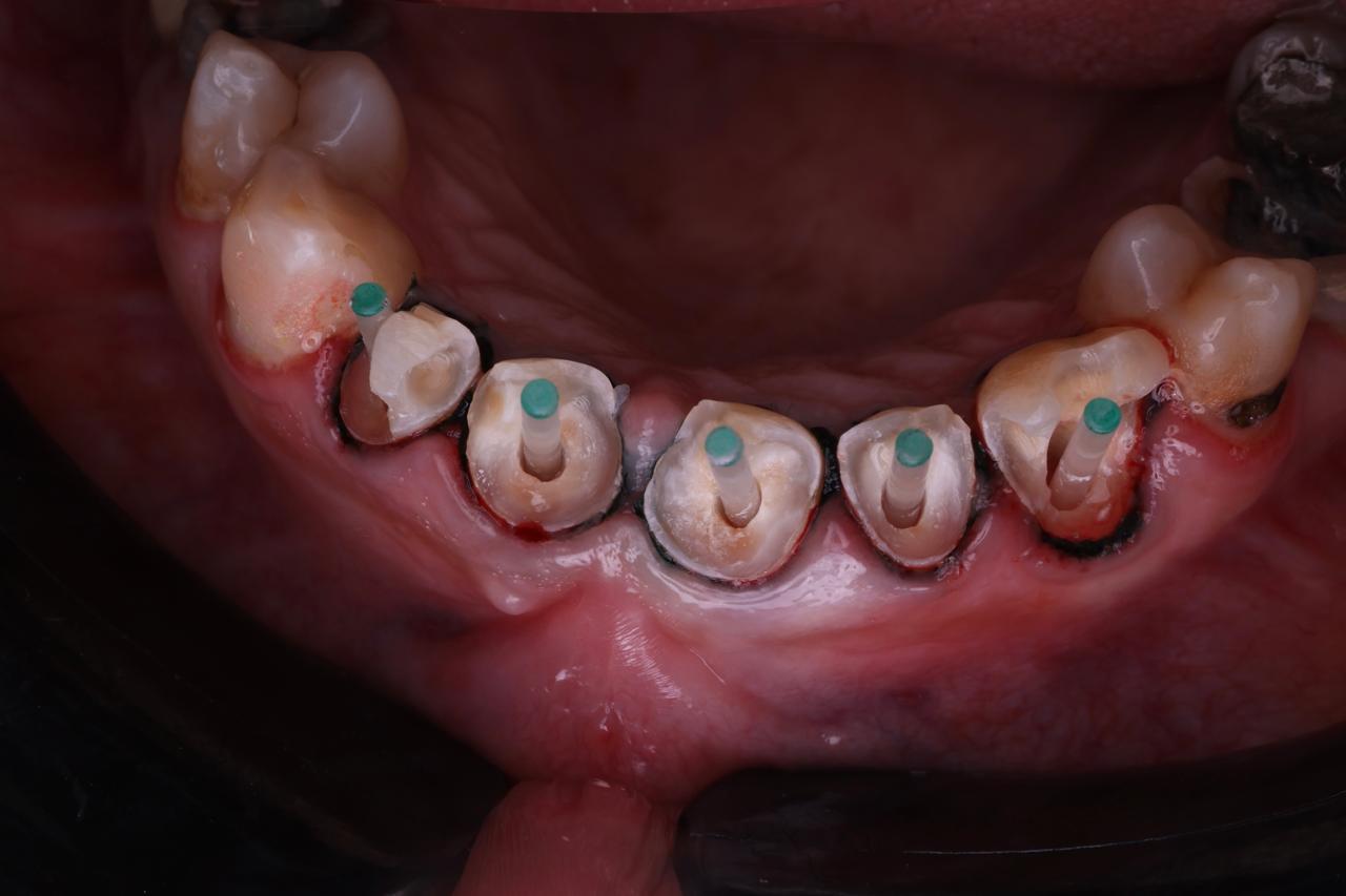
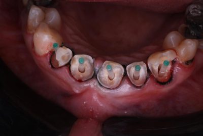
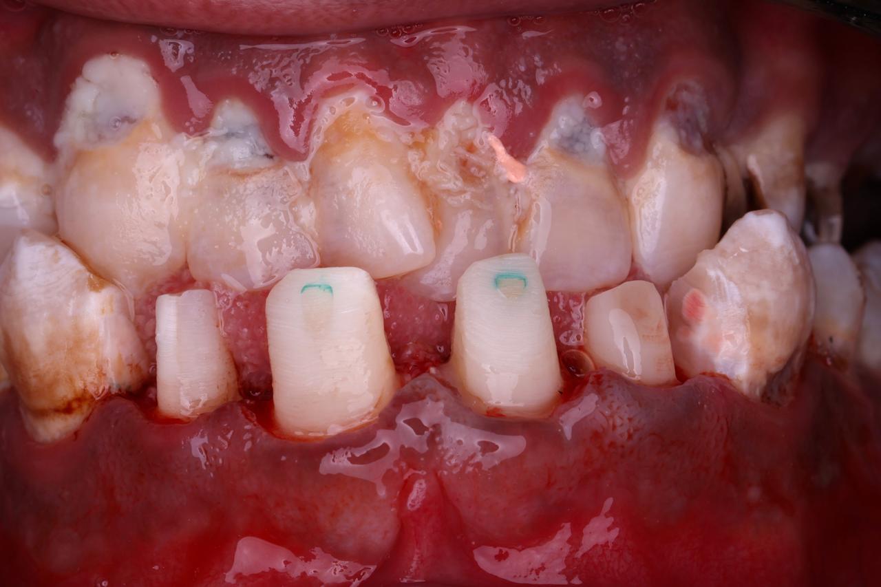
Future University in Egypt(FUE) : Digital Rehabilitation of Endodontically Treated Teeth*

Leave a Reply

Your email address will not be published. Required fields are marked *